หน้าหลักนี้ประกอบด้วยเอกสารฉบับแปลของบทความวิชาการต้นฉบับ อย่างไรก็ตาม เรา ได้จัดทำสรุปเนื้อหาที่สำคัญแบบย่อยง่ายไว้ให้ผู้อ่านได้ศึกษาเป็นลำดับแรก เพื่อให้เข้าใจภาพรวมของงานวิจัยชิ้นนี้ได้อย่างรวดเร็ว หากท่านมีความสนใจในรายละเอียดเชิงลึกหรือข้อมูลทางสถิติเพิ่มเติม ท่านสามารถเลือกอ่านเอกสารฉบับเต็มได้ทั้งในรูปแบบภาษาอังกฤษ (Original) ได้ที่ลิงก์นี้: https://www.sciencedirect.com/science/article/pii/S0166093405000649?via%3Dihub หรือหากต้องการอ่านฉบับภาษาไทย (Translated) เราได้จัดทำบทแปลไว้ให้แล้วในหน้านี้ (ล่างสุด)
บทความวิจัยนี้ศึกษาเกี่ยวกับ คลอรีนไดออกไซด์ (Chlorine Dioxide – ClO2) ในฐานะสารที่มีประสิทธิภาพสูงในการยับยั้งการทำงานของไวรัส (Virucidal agent) โดยเน้นไปที่กลไกการทำลายเชื้อไวรัสผ่านกระบวนการออกซิเดชัน ผลการศึกษาพบว่าคลอรีนไดออกไซด์สามารถยับยั้งไวรัสได้หลายชนิด โดยกลไกหลักไม่ใช่การทำลายสารพันธุกรรม (RNA/DNA) ของไวรัสโดยตรงในทันที แต่เป็นการเข้าไปทำลาย โปรตีนบนส่วนเปลือกของไวรัส (Viral envelope proteins) โดยเฉพาะกรดอะมิโนจำพวกซิสเทอีน (Cysteine) และไทโรซีน (Tyrosine) ซึ่งส่งผลให้ไวรัสไม่สามารถยึดเกาะหรือเข้าสู่เซลล์เจ้าบ้าน (Host cells) ได้ การศึกษานี้เน้นย้ำถึงศักยภาพของ ClO2 ในการเป็นสารฆ่าเชื้อที่มีความจำเพาะเจาะจงและออกฤทธิ์เร็ว ซึ่งเป็นประโยชน์อย่างมากในการควบคุมการแพร่ระบาดของเชื้อไวรัสในสิ่งแวดล้อม
ข้อมูลการเผยแพร่
-
ชื่อบทความ: Inactivation of enterovirus 71 by chlorine dioxide
-
วารสารที่ตีพิมพ์: Journal of Virological Methods, เล่มที่ 127, ฉบับที่ 1, หน้า 56-61 (มิถุนายน 2005)
-
ผู้เขียน: 1. Zhi-Qiang Jin (Institute of Health and Environmental Medicine, Tianjin, China) 2. Zhi-Gang Cai 3. Ya-Ling Wang 4. Fu-Huan Chao 5. Mao-Long Zhang 6. Xian-Long Shen
บทคัดย่อ
ในการศึกษานี้ ได้มีการสังเกตการคงอยู่ของไวรัสโคโรนาที่เกี่ยวข้องกับโรคทางเดินหายใจเฉียบพลันรุนแรง (SARS-CoV) ในอุจจาระ ปัสสาวะ และน้ำ นอกจากนี้ยังได้ศึกษาการทำลาย SARS-CoV ในน้ำเสียด้วยโซเดียมไฮโปคลอไรต์และคลอรีนไดออกไซด์ การทดลองในหลอดทดลองแสดงให้เห็นว่าไวรัสสามารถคงอยู่ได้เพียง 2 วันในน้ำเสียจากโรงพยาบาล น้ำเสียจากครัวเรือน และน้ำประปาที่ผ่านการกำจัดคลอรีนแล้ว ในขณะที่ 3 วันในอุจจาระ 14 วันในสารละลายบัฟเฟอร์ฟอสเฟต (PBS) และ 17 วันในปัสสาวะที่อุณหภูมิ 20 องศาเซลเซียส อย่างไรก็ตาม ที่อุณหภูมิ 4 องศาเซลเซียส SARS-CoV สามารถคงอยู่ได้ 14 วันในน้ำเสีย และอย่างน้อย 17 วันในอุจจาระหรือปัสสาวะ SARS-CoV มีความไวต่อสารฆ่าเชื้อมากกว่า Escherichia coli และ f2 phage พบว่าคลอรีนอิสระสามารถทำลาย SARS-CoV ได้ดีกว่าคลอรีนไดออกไซด์ ปริมาณคลอรีนตกค้างอิสระที่มากกว่า 0.5 มก./ลิตร สำหรับคลอรีน หรือ 2.19 มก./ลิตร สำหรับคลอรีนไดออกไซด์ในน้ำเสียจะทำให้เชื้อ SARS-CoV ถูกทำลายอย่างสมบูรณ์ แต่จะไม่สามารถทำลายเชื้อ E. coli และ f2 phage ได้อย่างสมบูรณ์ © 2005 Elsevier B.V. สงวนลิขสิทธิ์
คำสำคัญ: SARS-CoV; การดื้อยา; ในหลอดทดลอง; การฆ่าเชื้อ
บทนำ
ระหว่างปลายปี 2545 ถึงครึ่งแรกของปี 2546 เกิดการระบาดของโรคซาร์สใน 32 ประเทศและภูมิภาค มีรายงานผู้ป่วยโรคซาร์สมากกว่า 8,436 ราย และเสียชีวิต 812 ราย ภายในวันที่ 5 กรกฎาคม 2546 ขณะที่การเตือนภัยทั่วโลกเกี่ยวกับโรคซาร์สถูกยกเลิก (WHO, 2546a) วิธีการแพร่เชื้อหลักของ SARS-CoV คือการสัมผัสใกล้ชิดกับบุคคล โดยเฉพาะอย่างยิ่งการสัมผัสกับละอองฝอยของสารคัดหลั่งจากระบบทางเดินหายใจของผู้ติดเชื้อ (Rota, 2546; Lee, 2546; Tsang, 2546; WHO, 2546b)
ในขณะที่มีรายงานผู้ป่วยโรคซาร์สจำนวนมากในอาคารอพาร์ตเมนต์แห่งหนึ่งในฮ่องกง เชื่อว่าน้ำเสียมีบทบาทสำคัญผ่านละอองฝอยที่มีไวรัสโคโรนาจากระบบบำบัดน้ำเสีย (WHO, 2546c) ตรวจพบ RNA ของ SARS-CoV ในปัสสาวะ อุจจาระ และของเหลวจากการล้างช่องปากและลำคอ (He et al., 2004; กลุ่มศึกษาโรคซาร์สในประเทศจีน, 2004) Liu et al. (2003) รายงานว่าระยะเวลาเฉลี่ย (ช่วง) ของการขับถ่าย SARS-CoV ในเสมหะและอุจจาระคือ 21 (14–52) และ 27 (16–126) วัน ตามลำดับ พบ RNA ของ SARS-CoV ในตัวอย่างน้ำเสียจากโรงพยาบาลเซียวถังซานและโรงพยาบาลที่ 309 ของกองทัพปลดปล่อยประชาชนจีน ซึ่งกำหนดให้รับผู้ป่วยโรคซาร์สในปักกิ่งในปี 2003 (Wang et al., 2004) สิ่งเหล่านี้ก่อให้เกิดความกังวลอย่างมากเกี่ยวกับการฆ่าเชื้อน้ำเสียของโรงพยาบาลที่รับผู้ป่วยโรคซาร์ส อย่างไรก็ตาม มีการศึกษาเกี่ยวกับการยับยั้งเชื้อ SARS-CoV เพียงไม่กี่ชิ้น และใช้สารฆ่าเชื้อที่มีความเข้มข้นสูงกว่ามาก (Liu, 2003; Tsang, 2003; Li J, 2003)
ในฤดูหนาวปี 2546 ผู้เชี่ยวชาญด้านโรคติดเชื้อและนักระบาดวิทยาหลายคนคาดการณ์ว่าจะมีการระบาดใหม่ในฤดูหนาวปี 2546 หรือฤดูใบไม้ผลิปี 2547 (Enserik, 2546; Holden, 2546) ความเห็นเหล่านี้ส่วนใหญ่มาจากข้อเท็จจริงที่ว่า SARS แพร่กระจายทางระบบทางเดินหายใจและอาจมีพฤติกรรมคล้ายกับไข้หวัดใหญ่ อย่างไรก็ตาม ไม่มีการระบาดใหม่ตามที่คาดการณ์ไว้ ยกเว้นผู้ติดเชื้อที่ได้รับจากห้องปฏิบัติการและผู้ป่วยประปรายจนถึงฤดูใบไม้ผลิปี 2548 (WHO, 2546) ส่วนหนึ่งเป็นเพราะวิธีการป้องกันที่มีประสิทธิภาพ แต่เราโต้แย้งว่าคุณลักษณะเฉพาะบางอย่างของ SARS-CoV เช่น การคงอยู่ในสิ่งแวดล้อมในระยะเวลาสั้นและมีความต้านทานต่อสารฆ่าเชื้อต่ำ อาจอธิบายได้ว่าทำไมจึงไม่มีการระบาดเพิ่มเติม
วัตถุประสงค์ของบทความนี้คือเพื่อสำรวจสภาวะที่เอื้อต่อการคงอยู่ของ SARS-CoV ในสภาพแวดล้อมต่างๆ และผลของสารฆ่าเชื้อในการยับยั้ง SARS-CoV, Escherichia coli และ f2 phage
เครื่องมือและวิธีการ
ไวรัสและวิธีการเพาะเลี้ยง
แบคทีริโอเฟจ f2 (f2 phage) ซึ่งอาจมีอยู่ในน้ำเสียและเหมาะสมที่จะใช้เป็นจุลินทรีย์บ่งชี้สำหรับการประเมินผลการฆ่าเชื้อ (Havelaa, 1987; Sebastiani, 1989) ถูกเตรียมและตรวจพบตามวิธีการที่อธิบายโดย Womack et al. (1995) SARS-CoV ถูกเตรียมและตรวจพบโดยใช้วิธีการเพาะเลี้ยงบนเซลล์ Vero E6 เซลล์ถูกเพาะเลี้ยงในอาหารเลี้ยงเชื้อ Eagle’s growth medium (Difco Laboratories, Detroit, MI) ที่มีซีรั่มจากลูกวัว (FBS) 8% บัฟเฟอร์ DMEM 0.015 M และยาปฏิชีวนะ (คานามัยซินและเจนทามัยซินอย่างละ 50 ไมโครกรัม/มิลลิลิตร) และคงอยู่ในอาหารเลี้ยงเชื้อเดียวกันที่มี FBS 1.5% เปลี่ยนอาหารเลี้ยงเชื้อทุกๆ 1-2 วัน ของการบ่มเพาะ ยุติการเพาะเลี้ยง 7 วันหลังจากการฉีดเชื้อ และสังเกตผลกระทบต่อเซลล์ทุกวัน
การทดสอบความสามารถในการแพร่เชื้อไวรัส
หลังจากฆ่าเชื้อแล้ว ตัวอย่างในแต่ละช่วงเวลา (1, 5, 10, 20 และ 30 นาที) ถูกนำมาใช้ในการเพาะเลี้ยงเซลล์ และกำหนดความเข้มข้นของการติดเชื้อโดยพิจารณาจากปริมาณเชื้อที่ทำให้เกิดการติดเชื้อในเนื้อเยื่อเพาะเลี้ยง 50% (TCID50) ต่อมิลลิลิตร (Olivieri et al., 1985) สมการต่อไปนี้ถูกใช้ในการคำนวณอัตราส่วนการติดเชื้อ/การยับยั้งของไวรัส
อัตราการยับยั้ง (%)
TCID50/มล. ของกลุ่มควบคุม = −TCID50/มล. ของกลุ่มที่ได้รับการฆ่าเชื้อ หาร TCID50/มล. ของกลุ่มควบคุม × 100
ตัวอย่างสิ่งแวดล้อม
มีการเก็บตัวอย่างอุจจาระ 3 ตัวอย่างและปัสสาวะ 2 ตัวอย่างจากผู้ป่วยโรคซาร์ส 5 รายที่เข้ารับการรักษาในโรงพยาบาลเซียวถังซานที่กำหนดไว้ เมื่อวันที่ 15 มิถุนายน 2546 แต่ผลการทดสอบหาเชื้อ SARS-CoV และกรดนิวคลีอิกในตัวอย่างนั้นเป็นลบ ตัวอย่างน้ำเสียที่ใช้ในการทดลองนั้นเก็บมาจากโรงพยาบาลอีกแห่งหนึ่งสำหรับผู้ป่วยโรคซาร์ส คือ โรงพยาบาลที่ 309 ของกองทัพปลดปล่อยประชาชนจีน น้ำเสียถูกเก็บเมื่อเวลา 7 นาฬิกาของเช้าวันที่ 15 มิถุนายน 2546 และเก็บไว้ในภาชนะที่ปิดสนิท น้ำเสียจากครัวเรือนถูกเก็บจากหมู่บ้านจัดสรรในเขตเฟิงไท่ของกรุงปักกิ่ง เมื่อวันที่ 15 มิถุนายน 2546 น้ำเสียสำหรับการทดลองถูกนำไปปั่นเหวี่ยงที่ 6000 รอบต่อนาที เป็นเวลา 30 นาที เพื่อกำจัดอนุภาคแขวนลอยและแบคทีเรีย และส่วนที่เป็นของเหลวใสถูกแยกออกมาเพื่อใช้ในการทดลอง
การทดสอบความคงอยู่ของไวรัส SARS-CoV ในน้ำ
โซเดียมไทโอซัลเฟต (10% Na2S2O3) ถูกเติมลงในน้ำเสียจากโรงพยาบาล น้ำเสียจากครัวเรือน และน้ำประปา ตามลำดับ และผสมให้เข้ากันเพื่อทำให้สารฆ่าเชื้อที่อาจมีอยู่เป็นกลาง จากนั้นจึงเติมเชื้อ SARS-CoV (BJ01 ซึ่งแยกได้จากผู้ป่วย SARS โดยสถาบันวิทยาศาสตร์การทหาร) จำนวน 1 มิลลิลิตร (105 TCID50) ลงในน้ำเสียจากโรงพยาบาล น้ำเสียจากครัวเรือน น้ำประปา และ PBS ตัวอย่างข้างต้นถูกแบ่งออกเป็น 2 ส่วน บ่มที่อุณหภูมิ 4 ◦C และ 20 ◦C ตามลำดับทุกวัน จะนำตัวอย่าง 2 มิลลิลิตรออกมาผสมกับอาหารเลี้ยงเชื้อ DMEM 2 มิลลิลิตร ที่มีซีรั่มลูกวัว 10% และกรองด้วยแผ่นกรองเมมเบรนขนาด 0.22 ไมโครเมตรเพื่อกำจัดแบคทีเรีย นำสารละลายที่กรองแล้วไปเพาะเลี้ยงบนเซลล์โดยวิธีการดูดซับที่อุณหภูมิ 37 ◦C เป็นเวลา 2 ชั่วโมง แล้วจึงทิ้งไป จากนั้นจึงเติมอาหารเลี้ยงเชื้อและสังเกตการคงอยู่ของไวรัสทุกวัน
ลักษณะการคงอยู่ของ SARS-CoV ในอุจจาระและปัสสาวะ
เติมสารละลาย PBS 10 มิลลิลิตร และไวรัส SARS-CoV 1 มิลลิลิตร ความเข้มข้น 105 TCID50 ลงในอุจจาระ 4-5 กรัม ที่เก็บจากผู้ป่วย SARS 3 ราย ในโรงพยาบาล ใช้วิธีการเดียวกันนี้กับตัวอย่างปัสสาวะจากผู้ป่วย SARS 2 ราย ตัวอย่างเหล่านี้ ถูกเก็บรักษาไว้ตามที่กล่าวไว้ข้างต้น ทุกวัน นำตัวอย่าง 2 มิลลิลิตร มาผสมกับ DMEM ในปริมาณเท่ากัน แล้วนำไปปั่นเหวี่ยงที่ความเร็ว 6000 รอบต่อนาที เป็นเวลา 10 นาที กรองส่วนที่เป็นของเหลวใส และนำไปเพาะเชื้อตามวิธีข้างต้น
การเตรียมและการวิเคราะห์สารละลายคลอรีน
สารละลายคลอรีนทำโดยการละลายโซเดียมไฮโปคลอไรต์ (คลอรีนอิสระ 5%) ในน้ำกลั่นปราศจากไอออน สารละลายคลอรีนเข้มข้นถูกเก็บไว้ในขวดสีอำพันที่อุณหภูมิ 4 ◦C คลอรีนไดออกไซด์ถูกผลิตขึ้นโดยใช้วิธีมาตรฐาน 4500 (APHA, 1980) ที่ได้รับการดัดแปลง สารละลาย NaClO2 ความเข้มข้น 25% (น้ำหนัก/ปริมาตร) ถูกป้อนโดยการปั๊มด้วยอัตราการป้อน 2–3 มล./นาที เข้าไปในขวดผลิตก๊าซที่มี H2SO4 ความเข้มข้น 12N ขวดนี้เชื่อมต่อกับขวดดักจับคลอรีนที่มีสารละลาย NaClO2 ความเข้มข้น 10% (น้ำหนัก/ปริมาตร) เครื่องดักจับเชื่อมต่อกับขวดเก็บคลอรีนไดออกไซด์ที่บรรจุน้ำกลั่นปราศจากไอออน ในตอนท้ายของชุดการทดลอง มีขวดดักจับคลอรีนไดออกไซด์เพิ่มเติมที่มี KI ความเข้มข้น 10% (น้ำหนัก/ปริมาตร) เพื่อดักจับคลอรีนไดออกไซด์ที่เหลืออยู่ โดยรวมแล้ว สารละลายคลอรีนไดออกไซด์เข้มข้น มีความบริสุทธิ์เฉลี่ย 99% สารละลายคลอรีนไดออกไซด์เข้มข้น มักจะถูกเจือจางเพื่อให้ได้ความเข้มข้นประมาณ 1 กรัม/ลิตร เพื่ออำนวยความสะดวกในการเติมสารละลายความเข้มข้นต่ำลงในตัวอย่างน้ำสารละลายคลอรีนไดออกไซด์เข้มข้นที่เจือจางแล้วจะถูกเก็บไว้ในขวดแก้วสีอำพันขนาด 50 มล. ที่ไม่มีฝาปิด ที่อุณหภูมิ 4 ◦C และในที่มืด ความเข้มข้นของคลอรีนตกค้างและคลอรีนไดออกไซด์ถูกวัดโดยวิธีวัดสีด้วย N,N-diethyl-p-phenylenediamine (วิธี DPD) สำหรับการตรวจวัดคลอรีนไดออกไซด์ โดยมีการเติมไกลซีนเพื่อปกปิดการรบกวน (APHA, 1980; Li, 2002)
การฆ่าเชื้อไวรัส SARS-CoV ในน้ำเสีย
- การยับยั้งจุลินทรีย์ด้วยสารฆ่าเชื้อที่มีความเข้มข้นต่างกัน
นำขวดแก้วขนาด 250 มล. จำนวน 5 ขวด บรรจุน้ำเสียจากครัวเรือน 100 มล. เติมเชื้อ SARS-CoV 1 มล. ที่ความเข้มข้น 10⁵ TCID₅₀, E. coli 8099 10⁶ cfu และ f2 phage 10⁵ pfu แล้วผสมให้เข้ากัน จากนั้นเติมคลอรีนหรือคลอรีนไดออกไซด์ที่มีความเข้มข้นต่างกัน (5, 10, 20 และ 40 มก./ลิตร) ลงในแต่ละขวด หลังจาก 30 นาที ทำการกำจัดคลอรีนที่เหลืออยู่ด้วย Na₂S₂O₃ 1 มล. (10%) และสังเกตผลการยับยั้งไวรัส
- การทำลายจุลินทรีย์ด้วยระยะเวลาการฆ่าเชื้อที่แตกต่างกัน
เติมคลอรีนหรือคลอรีนไดออกไซด์ 10 มิลลิกรัมต่อลิตร (กลุ่มความเข้มข้นต่ำ) คลอรีน 20 มิลลิกรัมต่อลิตร หรือคลอรีนไดออกไซด์ 40 มิลลิกรัมต่อลิตร (กลุ่มความเข้มข้นสูง) ลงในแต่ละขวดทดลอง หลังจากผ่านไป 1, 5, 10, 20 และ 30 นาที จึงเติม Na2S2O3 และสังเกตผลการยับยั้งไวรัส
การตรวจหาเชื้อ SARS-CoV ด้วยวิธี RT-PCR
- การสกัด RNA
ในการทดลองนี้ เราใช้ชุดสกัด RNA ของไวรัส (น้ำยา TRIzol) ที่ผลิตโดย InvitrogenTM Life Technologies เพื่อสกัด RNA ของไวรัสที่มีความบริสุทธิ์สูง และดำเนินการทุกขั้นตอนอย่างเคร่งครัดตามข้อกำหนดในคู่มือการใช้งานน้ำยา
- การออกแบบไพรเมอร์สำหรับการตรวจวิเคราะห์กรดนิวคลีอิกของไวรัส SARS-CoV
ไพรเมอร์สามชุดจาก WHO Network Laboratories (WHO, 2003d) ถูกนำมาใช้เพื่อตรวจจับ SARS-CoV RNA: Cor-p-F2 (+) 5-CTAACATGCTTAG GATAATGG-3 ,คอร์ป-F3 (+) 5
-GCCTCTCTTGTTCTTGCTCGC-3 และ Cor-pR1 (-) 5-CAGGTAAGCGTAAAACTCATC-3. Cor-p-F2/Cor-p-R1 ให้ผลิตภัณฑ์ 368 bp และ Cor-p-F3/Cor-p-R1 ให้ผลส่วน 348 bp
- การตรวจหาเชื้อ SARS-CoV ด้วยวิธี RT-PCR
นำสารละลาย RNA ปริมาณ 2 ไมโครลิตร มาวิเคราะห์ด้วยวิธี RTPCR โดยใช้ชุดตรวจ RNA PCR แบบขั้นตอนเดียวของ KaTaRa (KaTaRa Biotechnology, Dalian) ในการทำปฏิกิริยา มีการรวมตัวอย่างควบคุม RT-PCR เชิงบวก (ที่บริษัทจัดหาให้ในชุดตรวจ ผลิตภัณฑ์การขยายมีขนาด 348 bp) และตัวอย่างควบคุมเชิงลบไว้ในการทดสอบแต่ละครั้ง และดำเนินการทุกขั้นตอนอย่างเคร่งครัดตามคู่มือการใช้งานของชุดตรวจ
- การตรวจจับผลิตภัณฑ์ PCR
ผลิตภัณฑ์ PCR ถูกวิเคราะห์โดยการอิเล็กโทรโฟเรซิสด้วยเจลอะกาโรส 1.5% (w/v) ที่มีเอทิเดียมโบรไมด์ 0.5 กรัมต่อมิลลิลิตร จากนั้นจึงทำการตรวจสอบด้วยแสงยูวีและถ่ายภาพ มีการใส่ดีเอ็นเอมาร์กเกอร์ (pUC19 DNA/MSP I Marker, Gibco/BRL) ลงในแต่ละรอบการอิเล็กโทรโฟเรซิสด้วยเจลอะกาโรส
ผลลัพธ์
ลักษณะคงอยู่ของไวรัส SARS-CoV ในตัวอย่างต่างๆ
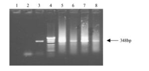
ไวรัส SARS-CoV คงอยู่ได้เพียง 2 วันในน้ำเสียจากโรงพยาบาล น้ำเสียจากครัวเรือน และน้ำประปาที่ผ่านการกำจัดคลอรีนแล้ว ที่อุณหภูมิ 20 ◦C (ตารางที่ 1) เมื่อตรวจหาดีเอ็นเอของไวรัสด้วยวิธี RTPCR พบว่ายังสามารถตรวจพบ RNA ได้ในวันที่ 7 แม้ว่าจำนวนสำเนาของ RNA จะมีน้อยมากจนต้องตรวจหาด้วยวิธี nested PCR (รูปที่ 1) ที่อุณหภูมิ 4 ◦C ไวรัส SARS-CoV ในตัวอย่างเหล่านี้ สามารถคงอยู่ได้นานถึง 14 วัน (ตารางที่ 2)
- ลักษณะการคงอยู่ของเชื้อ SARS-CoV ในอุจจาระและปัสสาวะ
ไวรัส SARS-CoV อยู่รอดได้เพียง 3 วันในอุจจาระ ในขณะที่อยู่รอดได้นานอย่างน้อย 17 วันในปัสสาวะที่อุณหภูมิ 20 ◦C (ตารางที่ 3) ที่อุณหภูมิ 4 ◦C ไวรัส SARS-CoV สามารถอยู่รอดได้นานกว่า 17 วันในตัวอย่างทั้งสองข้างต้น
ตารางที่ 1 การคงอยู่ของไวรัส SARS-CoV ในน้ำชนิดต่างๆ ที่อุณหภูมิ 20 ◦Ca

a ผลลัพธ์จากการทดลองสามครั้ง
b น้ำประปาที่ปราศจากคลอรีน

ภาพที่ 1. การตรวจหา RNA ของ SARS-CoV จากตัวอย่างที่เพาะเชื้อไว้เป็นเวลา 7 วัน (1) ตัวอย่างควบคุมเชิงลบ; (2) ตัวอย่างควบคุมเซลล์; (3) ตัวอย่างควบคุมเชิงบวก (348 bp); (4) ตัวบ่งชี้ (pUC19 DNA/MSP I Marker); (5) น้ำเสียจากโรงพยาบาลที่ 309; (6) น้ำเกลือปกติ; (7) น้ำเสียจากเทศบาล; (8) น้ำที่ผ่านการกำจัดคลอรีน
ตารางที่ 2 การคงอยู่ของไวรัส SARS-CoV ในน้ำชนิดต่างๆ ที่อุณหภูมิ 4 ◦Ca

a ผลลัพธ์จากการทดลองสามครั้ง
b น้ำประปาที่ปราศจากคลอรีน
ตารางที่ 3 การคงอยู่ของเชื้อ SARS-CoV ในอุจจาระและปัสสาวะของผู้ป่วยที่อุณหภูมิ 20 ◦Ca

a ผลลัพธ์จากการทดลองสามครั้ง
b การตรวจจับทันทีหลังจากเพาะเชื้อ SARS-CoV
ตารางที่ 4 การฆ่าเชื้อไวรัส SARS-CoV ในน้ำเสียด้วยคลอรีนและคลอรีนไดออกไซด์

SARS-CoV, 101.75 TCID50/มล.; f2, 1.1 × 10⁵ pfu/ลิตร; E. coli, 1.3 × 10⁶ cfu/ลิตร; อุณหภูมิ 20 ◦C; ฆ่าเชื้อเป็นเวลา 30 นาที ผลลัพธ์จากการทดลอง 3 ครั้ง
ตารางที่ 5 ผลของระยะเวลาสัมผัสต่อการยับยั้งเชื้อ SARS-CoV ในน้ำเสียด้วยสารฆ่าเชื้อความเข้มข้นต่ำ

ความเข้มข้นของคลอรีนและคลอรีนไดออกไซด์คือ 10 มก./ลิตร SARS-CoV 101.6 TCID50/มล. f2 1.9 × 10⁵ pfu/ลิตร E. coli 4.6 × 10⁵ cfu/ลิตร อุณหภูมิ 20 ◦C (−) ตรวจไม่พบ ผลลัพธ์จากการทดลอง 3 ครั้ง
การฆ่าเชื้อไวรัส SARS-CoV ในน้ำเสีย
- การยับยั้งจุลินทรีย์ด้วยสารฆ่าเชื้อที่มีความเข้มข้นต่างกัน
ไวรัส SARS-CoV สามารถถูกทำลายได้อย่างสมบูรณ์ (วัดการทำลายโดยใช้หน่วยเพาะเลี้ยงและหน่วยสร้างคราบจุลินทรีย์) หลังจากฆ่าเชื้อด้วยคลอรีนมากกว่า 10 มก./ลิตร เป็นเวลา 30 นาที (คลอรีนอิสระที่เหลืออยู่มากกว่า 0.4 มก./ลิตร) อย่างไรก็ตาม แบคทีเรีย E. coli และฟาจ f2 ไม่ถูกทำลายอย่างสมบูรณ์ภายใต้เงื่อนไขเดียวกัน คลอรีนไดออกไซด์มีประสิทธิภาพในการทำลายไวรัส SARS-CoV น้อยกว่าคลอรีน ไวรัส SARS-CoV สามารถถูกทำลายได้อย่างสมบูรณ์หลังจากฆ่าเชื้อด้วยคลอรีนไดออกไซด์ 40 มก./ลิตร เป็นเวลา 30 นาที (คลอรีนอิสระที่เหลืออยู่ 2.19 มก./ลิตร) เท่านั้น ในขณะที่แบคทีเรีย E. coli และฟาจ f2 ยังไม่สามารถถูกทำลายได้อย่างสมบูรณ์ (ตารางที่ 4)
- การฆ่าเชื้อจุลินทรีย์ด้วยสารฆ่าเชื้อความเข้มข้นต่ำ
ไวรัส SARS-CoV สามารถถูกทำลายได้อย่างสมบูรณ์ด้วยคลอรีน 10 มก./ลิตร เป็นเวลา 10 นาทีขึ้นไป ภายใต้สภาวะเดียวกัน แบคทีเรีย E. coli และฟาจ f2 ไม่สามารถถูกทำลายได้อย่างมีประสิทธิภาพ แม้ว่าคลอรีนไดออกไซด์จะมีประสิทธิภาพในการทำลาย E. coli และฟาจ f2 เกือบเท่ากับคลอรีนที่ความเข้มข้นนี้ แต่ก็มีประสิทธิภาพน้อยกว่าในการทำลาย SARS-CoV ปริมาณคลอรีนอิสระที่เหลืออยู่ ณ เวลาต่างๆ ถูกรักษาไว้ที่ประมาณ 0.4 มก./ลิตร แต่ปริมาณคลอรีนไดออกไซด์อิสระที่เหลืออยู่ต่ำกว่าค่าที่ตรวจจับได้ (ตารางที่ 5)
ตารางที่ 6 ผลของระยะเวลาสัมผัสต่อการยับยั้งเชื้อ SARS-CoV ในน้ำเสียด้วยสารฆ่าเชื้อความเข้มข้นสูง

ความเข้มข้นของคลอรีนอยู่ที่ 20 มก./ลิตร และคลอรีนไดออกไซด์อยู่ที่ 40 มก./ลิตร SARS-CoV 101.75 TCID50/มล. f2 2.9 × 10⁵ pfu/ลิตร; E. coli 5.5 × 10⁵ cfu/ลิตร; อุณหภูมิ 20 ◦C ผลลัพธ์จากการทดลอง 3 ครั้ง
- การฆ่าเชื้อจุลินทรีย์ด้วยสารฆ่าเชื้อที่มีความเข้มข้นสูง
ไวรัส SARS-CoV สามารถถูกทำลายได้อย่างสมบูรณ์ด้วยคลอรีน 20 มก./ลิตร ภายใน 1 นาทีหรือมากกว่านั้น ในขณะที่แบคทีเรีย E. coli สามารถถูกทำลายได้ 99% ในเวลามากกว่า 5 นาที อย่างไรก็ตาม คลอรีนมีประสิทธิภาพน้อยมาก ในการทำลายฟาจ f2 ซึ่งไม่สามารถทำลายได้อย่างสมบูรณ์ด้วยการฆ่าเชื้อ 30 นาที ไวรัส SARS-CoV ในน้ำเสีย สามารถถูกทำลายได้อย่างสมบูรณ์ภายใน 5 นาทีด้วยคลอรีนไดออกไซด์ 40 มก./ลิตร แบคทีเรีย E. coli ก็ถูกทำลายได้ถึง 99.99% เช่นกัน อย่างไรก็ตาม คลอรีนไดออกไซด์ก็มีประสิทธิภาพน้อยในการทำลายฟาจ f2 เช่นกัน (ตารางที่ 6)
การอภิปราย
โรคซาร์สเป็นโรคติดเชื้อชนิดใหม่ที่เกิดจากไวรัสโคโรนาสายพันธุ์ใหม่ (Rota, 2003; Tsang, 2003b; Cyranoski, 2003) แม้ว่าจะมีความเชื่อกันอย่างแพร่หลายเกี่ยวกับการระบาดของโรคซาร์สอีกครั้ง
(Enserik, 2003; Holden, 2003) แต่จนถึงปัจจุบันมีรายงานการติดเชื้อจากห้องปฏิบัติการเพียง 2 รายในสิงคโปร์และไต้หวัน 9 รายในจีน (2 รายสงสัยว่าติดเชื้อจากห้องปฏิบัติการจากสถาบันไวรัสวิทยาแห่งชาติจีนในปักกิ่ง ศูนย์ควบคุมโรค และรายอื่นๆ สัมผัสกับผู้ป่วย 2 รายนี้) และ 4 รายในกว่างโจว (ทั้ง 4 รายสัมผัสกับสัตว์ เช่น แมวชะมด) (WHO, 2004)
ดูเหมือนว่า SARS-CoV จะไม่สามารถคงอยู่ได้ในสภาพแวดล้อมในหลอดทดลองอย่างที่เคยเชื่อกันมาก่อน อย่างไรก็ตาม SARS-CoV อาจคงอยู่ได้นานขึ้นในอุณหภูมิที่ค่อนข้างต่ำ และจะคงอยู่ได้ในสารละลาย PBS และปัสสาวะ นี่อาจเกี่ยวข้องกับข้อเท็จจริงที่ว่าของเหลวดังกล่าวมีเกลือ ซึ่งรักษาความดันออสโมติกที่ไวรัสต้องการในการคงอยู่ คุณลักษณะดังกล่าวของ SARS-CoV ที่พบในการทดลองของเรานั้นโดยพื้นฐานแล้วคล้ายกับรายงานอื่นๆ รายงานในหนังสือพิมพ์วิทยาศาสตร์และเทคโนโลยีของจีนเมื่อวันที่ 4 มิถุนายน 2546 ระบุว่านักวิจัยจากสถาบันวิทยาศาสตร์การแพทย์ทหารและศูนย์ควบคุมและป้องกันโรคของจีนพบว่าที่อุณหภูมิ 24 ◦C SARS-CoV อาจคงอยู่ได้ 5 วันในเสมหะและอุจจาระ 19 วันในปัสสาวะ และ 3 วันบนพื้นผิวของวัตถุ (Liu, 2003) Tsang et al. (2003) ยังรายงานด้วยว่าไวรัส SARS-CoV อาจอยู่รอดได้ 1-4 วันในอุจจาระ และ 0.5-3 วันบนพื้นผิวของวัตถุ
วิธีการแพร่กระจายหลักของ SARS-CoV คือการสัมผัสใกล้ชิดระหว่างมนุษย์ โดยเฉพาะอย่างยิ่ง การสัมผัสกับละอองน้ำลายจากระบบทางเดินหายใจของผู้ติดเชื้อ (Lee, 2003) อย่างไรก็ตาม ในกลุ่มผู้ป่วย SARS ในอาคารอพาร์ตเมนต์แห่งหนึ่งในฮ่องกง นักวิจัยพบว่าสามารถตรวจพบกรดนิวคลีอิกของ SARS-CoV ได้จากอุจจาระของผู้ป่วยด้วย (Cyranoski, 2003) ดังนั้น จึงมีความกังวลอย่างมากเกี่ยวกับการฆ่าเชื้อ SARS-CoV ในอุจจาระของผู้ป่วยและน้ำเสีย
เนื่องจากน้ำเสียมักมีแบคทีเรียและไวรัสที่อาจก่อโรคจำนวนมาก จึงมักใช้จุลินทรีย์ที่ไม่ก่อโรคบางชนิดเป็นตัวบ่งชี้ในการศึกษาผลการฆ่าเชื้อของสารฆ่าเชื้อต่อจุลินทรีย์ก่อโรคในน้ำเสีย ตัวบ่งชี้ที่ใช้กันทั่วไป ได้แก่ E. coli, f2 phage, MS2 phage และโปลิโอไวรัส Tree et al. (2003) รายงานว่าการทำให้ E. coli และ Enterococcus faecalis ไม่ทำงาน (>5 log10 หน่วย) นั้นรวดเร็วและสมบูรณ์ แต่มีการทำให้แบคทีริโอฟาจ RNA เฉพาะ F+ (MS2) ไม่ทำงานในระดับต่ำ (0.2–1.0 log10 หน่วย) ที่ความเข้มข้นของคลอรีนทั้งสามระดับ (8, 16 และ 30 มก./ลิตร)
อย่างไรก็ตาม โปลิโอไวรัสที่เพาะเลี้ยงมีความไวต่อการทำให้ไม่ทำงานโดยคลอรีนมากกว่า MS2 phage อย่างมีนัยสำคัญ (2.8 log10 หน่วย) Shah PC. และ McCamish J. (1972) พบว่าความต้านทานต่อคลอรีนสัมพัทธ์ของฟาจ f2 (F+-RNA) นั้นแข็งแกร่งกว่าไวรัสโปลิโอและฟาจ T2 อย่างเห็นได้ชัด Tyrrell et al. (1995) พบว่าความต้านทานของฟาจ F+- ต่อคลอรีนนั้นสูงกว่า E. coli และ Enterococcus ถึง 10 เท่าในการฆ่าเชื้อน้ำเสียขั้นที่สองจากโรงบำบัดน้ำ หลังจากเปรียบเทียบผลการฆ่าเชื้อของจุลินทรีย์ชนิดต่างๆ ในน้ำที่แตกต่างกัน Havelaa (1987) และ Sebastiani (1989) สรุปว่าฟาจ โดยเฉพาะฟาจ F+- เหมาะสมที่สุดที่จะใช้เป็นจุลินทรีย์บ่งชี้สำหรับการประเมินผลการฆ่าเชื้อ ดังนั้น เราจึงเลือกฟาจ f2 และ E. coli 8099 เป็นจุลินทรีย์บ่งชี้สำหรับการวิจัยเกี่ยวกับการยับยั้ง SARS-CoV โดยสารฆ่าเชื้อ
จนถึงปัจจุบัน มีรายงานน้อยมากเกี่ยวกับการคงอยู่ของ SARS-CoV ในสิ่งแวดล้อมหรือความต้านทานต่อสารฆ่าเชื้อทั่วไป Bao et al. (2003) รายงานว่าความสามารถในการแพร่เชื้อของ SARS-CoV ยังคงอยู่ได้นานอย่างน้อย 10 วันที่ 4 ◦C; ระดับความเข้มข้นของเชื้อลดลงจาก 7.5 TCID50 เหลือ 3.2 TCID50 ภายใน 5 วันที่อุณหภูมิห้อง; ไวรัสมีความไวต่อความร้อน และสามารถถูกทำลายได้อย่างสมบูรณ์โดยการให้ความร้อนเป็นเวลา 30 นาทีที่ 56 ◦C หรือเป็นเวลา 5 นาทีที่ 70 ◦C Rabenau et al. (2004) ศึกษาความเสถียรของ SARS-CoV ภายใต้สภาวะต่างๆ ทั้งในสารละลายและแห้งบนพื้นผิว เมื่อเปรียบเทียบกับไวรัสโคโรนาของมนุษย์ HCoV-229E ในสภาวะแขวนลอย HCoV-229E ค่อยๆ สูญเสียความสามารถในการก่อโรคไปจนหมด
ในขณะที่ SARS-CoV ยังคงความสามารถในการก่อโรคได้นานถึง 9 วัน ในสภาวะแห้ง ระยะเวลาการคงอยู่คือ 24 ชั่วโมง เทียบกับ 6 วัน การทำลายด้วยความร้อนที่ 56 ◦C มีประสิทธิภาพสูงในกรณีที่ไม่มีโปรตีน Duan et al. (2003) รายงานว่าไวรัสโคโรนา SARS ภายใต้สภาวะการทดสอบสามารถอยู่รอดได้ในซีรั่ม เสมหะที่เจือจาง 1:20 และอุจจาระอย่างน้อย 96 ชั่วโมง ในขณะที่สามารถมีชีวิตอยู่ได้ในปัสสาวะอย่างน้อย 72 ชั่วโมง โดยมีระดับความสามารถในการก่อโรคต่ำ การคงอยู่บนพื้นผิวของวัสดุที่แตกต่างกันแปดชนิดและในน้ำนั้นเทียบเคียงกันได้ แสดงให้เห็นถึงการลดลงของความสามารถในการก่อโรคหลังจากสัมผัสเป็นเวลา 72–96 ชั่วโมง ไวรัสยังคงมีเสถียรภาพที่ 4 ◦C, ที่อุณหภูมิห้อง (20 ◦C) และที่ 37 ◦C เป็นเวลาอย่างน้อย 2 ชั่วโมง โดยไม่มีการเปลี่ยนแปลงที่เห็นได้ชัดในความสามารถในการติดเชื้อในเซลล์ แต่จะเปลี่ยนเป็นไวรัสที่ไม่สามารถติดเชื้อได้หลังจากสัมผัสกับอุณหภูมิ 56, 67 และ 75 ◦C เป็นเวลา 90, 60 และ 30 นาที ตามลำดับ การฉายรังสี UV เป็นเวลา 60 นาทีบนไวรัสในอาหารเลี้ยงเชื้อส่งผลให้ความสามารถในการติดเชื้อของไวรัสถูกทำลายในระดับที่ตรวจไม่พบ
บทความหนึ่งในหนังสือพิมพ์วิทยาศาสตร์และเทคโนโลยีของจีนเมื่อวันที่ 4 มิถุนายน 2546 ระบุว่า SARS-CoV ในอุจจาระหรือปัสสาวะสามารถทำให้ไม่ทำงานได้ภายในไม่กี่นาทีโดยใช้คลอรีน 500–1000 มก./ลิตร
หรือกรดเปอร์อะซิติก ในขณะที่ไวรัสยังสามารถถูกฆ่าได้ด้วยรังสีอัลตราไวโอเลตหรือความร้อนเป็นเวลา 30 นาที (Liu, 2546) Tsang (2003) รายงานว่า SARS-CoV สามารถถูกทำลายได้ในแอลกอฮอล์ 75%
สารละลายไฮดรอกซีเบนซีน 2% โซเดียมไฮเปอร์คลอรีน 500 มก./ลิตร หรือผงซักฟอก เป็นเวลา 5 นาที ซึ่งแสดงให้เห็นว่าไวรัสมีความไวต่อสารฆ่าเชื้อทุกชนิด Li J et al. (2003) รายงานว่า SARS-CoV ยังสามารถถูกทำลายได้มากกว่า 5 log10 หน่วย ภายใน 60 วินาที ในสารละลายฆ่าเชื้อผสม 80% ที่ประกอบด้วยคลอร์เฮกซิดีนอะซิเตต 1700–1900 มก./ลิตร และนาโนซิงค์ออกไซด์ 1000 มก./ลิตร
จากผลลัพธ์ข้างต้นแสดงให้เห็นว่า SARS-CoV มีความไวต่อปัจจัยด้านสิ่งแวดล้อมหรือสารฆ่าเชื้อ อย่างไรก็ตามความเข้มข้นของสารฆ่าเชื้อสูงเกินไปที่จะนำไปใช้ในการฆ่าเชื้อในน้ำหรือน้ำเสีย เราได้สังเกตผลการยับยั้งของคลอรีนและคลอรีนไดออกไซด์ต่อ SARS-CoV ที่ความเข้มข้นทั่วไปและความคงทนในน้ำเสียที่แตกต่างกัน พบว่า SARS-CoV ถูกทำลายได้ง่ายกว่าโดยคลอรีนหรือคลอรีนไดออกไซด์เมื่อเทียบกับ E. coli และ f2
phage ในน้ำเสีย และความสามารถในการก่อโรคในสิ่งแวดล้อมก็ลดลงได้ง่าย
ลักษณะของ SARS-CoV สามารถยืนยันได้ ทางอ้อมจากการทดลองอื่น (Wang, 2004) พบว่า SARS-CoV ที่เพาะในน้ำเสียเพียง 1% เท่านั้นที่สามารถกู้คืนได้โดยอนุภาคตัวกรองที่มีประจุบวก ซึ่งได้ผลดีกับการกู้คืนเอนเทอโรไวรัสหลายชนิดในการศึกษาครั้งก่อน (Li et al., 1998) เราเชื่อว่าสาเหตุที่ทำให้การฟื้นตัวของ SARS-CoV ต่ำ อาจเป็นเพราะความต้านทานที่อ่อนแอและความไวสูงต่อปัจจัยด้านสิ่งแวดล้อม รวมถึงความเสียหายต่อไวรัสในระหว่างกระบวนการเพิ่มความเข้มข้น
คลอรีนถูกนำมาใช้เป็นวิธีการฆ่าเชื้อโรคที่เรียบง่ายและประหยัดมานานแล้วทั่วโลก เพื่อให้มั่นใจในความปลอดภัยของน้ำดื่ม อย่างไรก็ตาม การใช้คลอรีนอย่างต่อเนื่องเพื่อฆ่าเชื้อโรคในแหล่งน้ำดื่มกำลังถูกตรวจสอบอย่างเข้มงวดมากขึ้น เนื่องจากอันตรายต่อสุขภาพที่อาจเกิดขึ้นจากสารไฮโดรคาร์บอนคลอรีนที่เกิดขึ้น รวมถึงไตรฮาโลมีเทนและกรดฮาโลอะซิติก (Rook, 1974) นอกจากนี้ คลอรีนยังเป็นสารฆ่าเชื้อโรคที่ไม่ดีนักที่ค่า pH สูงกว่า 8 และในบางกรณีก็เป็นสารฆ่าไวรัสที่ไม่ดีนักที่ค่า pH 5 และ 6 (Taylor and Butler, 1982a) คลอรีนไดออกไซด์ถูกใช้เป็นสารฆ่าเชื้อทางเลือกเนื่องจากไม่ก่อให้เกิดผลพลอยได้จากฮาโลเจน และมีประสิทธิภาพในการฆ่าเชื้อแบคทีเรียดีกว่าหรือเทียบเท่ากับคลอรีน และมีประสิทธิภาพในการฆ่าไวรัสดีกว่าคลอรีนในช่วง pH ที่กว้างกว่า (Li et al., 1996, 2004; Taylor and Butler, 1982b; Huang et al., 1997)
อย่างไรก็ตาม Tsai และ Lin (1999) รายงานว่าไฮโปคลอไรต์มีประสิทธิภาพในการยับยั้ง E. coli ในน้ำเสียและตะกอนของโรงพยาบาลได้ดีกว่าคลอรีนไดออกไซด์ การศึกษานี้ยังชี้ให้เห็นว่าในแง่ของการยับยั้ง E. coli, f2 phage และ SARS-CoV นั้น คลอรีนมีประสิทธิภาพดีกว่าคลอรีนไดออกไซด์ เหตุผลสำหรับเรื่องนี้ยังไม่ชัดเจนนัก แต่อาจเกี่ยวข้องกับปริมาณสารหรือจุลินทรีย์ที่ลดปฏิกิริยามากเกินไป ดังนั้น ในแง่ของเศรษฐกิจหรือความปลอดภัย คลอรีนจึงเป็นตัวเลือกที่ดีที่สุดสำหรับการฆ่าเชื้อในน้ำเสียของโรงพยาบาล
เหนือสิ่งอื่นใด ไวรัส SARS-CoV สามารถคงอยู่เป็นอนุภาคที่ก่อให้เกิดการติดเชื้อได้เพียงช่วงเวลาสั้นมากในสภาพแวดล้อมในหลอดทดลอง และมีความไวต่อสารฆ่าเชื้อทั่วไปสูงมาก นอกจากนี้ ในระหว่างการระบาดของโรคซาร์สในปี 2546 มีการใช้สารฆ่าเชื้อหลากหลายชนิดในปริมาณมากเพื่อฆ่าเชื้อในสภาพแวดล้อมในจีนแผ่นดินใหญ่ ประกอบกับผลกระทบจากอุณหภูมิสูงในฤดูร้อน และการควบคุมและจัดการโรค นอกจากการแพร่เชื้อจากสัตว์สู่คนหรือการติดเชื้อข้ามสายพันธุ์ภายในห้องปฏิบัติการแล้ว จึงมีความเป็นไปได้น้อยมากที่จะเกิดการระบาดอีกครั้งจากไวรัส SARS-CoV จากแหล่งสิ่งแวดล้อม
กิตติกรรมประกาศ
ผู้เขียนขอขอบคุณ ดร. Fu-Yu Wang, Ying-Kai Li, MengFu Zhu, Jian-Yong Su, Cheng-Yuan Gong, Wu-Chun Chao, Tai-Thi Gong, Tao-Xing Shi, Bang-Rong Han, Zhu-Ge Xi และ Hua-Shan Zhang สำหรับคำแนะนำและการอภิปรายที่เป็นประโยชน์ และการจัดหารีเอเจนต์จำนวนมาก นอกจากนี้เรายังขอขอบคุณศาสตราจารย์ Su-Qi Cheng สำหรับการแก้ไขภาษาอังกฤษของเขา
งานวิจัยนี้ได้รับการสนับสนุนบางส่วนจากโครงการวิจัยและพัฒนาเทคโนโลยีขั้นสูงแห่งชาติของจีน (โครงการ 863 หมายเลข 2004AA649100) และมูลนิธิวิทยาศาสตร์ธรรมชาติแห่งชาติของจีน (หมายเลข 30471436)
เอกสารอ้างอิง
สมาคมสาธารณสุขแห่งอเมริกา (APHA), 1980. วิธีการมาตรฐานสำหรับการตรวจสอบน้ำและน้ำเสีย ฉบับที่ 20 สมาคมสาธารณสุขแห่งอเมริกา วอชิงตัน ดี.ซี.
Bao, Z., Liu, Y., Liu, S., Zhuang, D., Li, J., 2003. ความทนทานของไวรัส SARS ต่ออุณหภูมิที่แตกต่างกัน วารสารการฆ่าเชื้อของจีน [ภาษาจีน] 20, 161–162.
Cyranoski, D., Abbott, A., 2003. อาคารอพาร์ตเมนต์มีเบาะแสเกี่ยวกับศักยภาพการระบาดใหญ่ของ SARS Nature. 423:1038/423003a.
Duan, S.M., Zhao, X.S., Wen, R.F., Huang, J.J., Pi, G.H., Zhang, S.X., Han, J., Bi, S.L., Ruan, L., Dong, X.P., ทีมวิจัย SARS, 2003. ความเสถียรของไวรัสโคโรนา SARS ในตัวอย่างจากมนุษย์และสิ่งแวดล้อม
และความไวต่อความร้อนและการฉายรังสี UV Biomed. Environ.Sci. 16, 246–255.
Enserink, M., 2004. คำถามสำคัญในตอนนี้: มันจะกลับมาอีกหรือไม่? Science 301, 299.
Havelaar, A.H., 1987. แบคทีริโอเฟจเป็นสิ่งมีชีวิตต้นแบบในการบำบัดน้ำ Microbiol. Sci. 4, 362–364.
He, Z.P., Dong, Q.M., Song, S.J., He, L., Zhuang, H., 2004. การตรวจหา RNA ของไวรัสโคโรนาที่ก่อให้เกิดโรคทางเดินหายใจเฉียบพลันรุนแรง (SARS) ในอุจจาระของผู้ป่วย SARS Zhonghua Yu Fang Yi Xue Za Zhi. 38, 90–91 (CHN).
Holden, A.C., 2003. การเตรียมพร้อมสำหรับการกลับมาแพร่ระบาดของ SARS ที่อาจเกิดขึ้น Am. J.Nurs. 103, 104.
Huang, J., Wang, L., Ren, N., Liu, X.L., Sun, R.F., Yang, G., 1997. ผลการฆ่าเชื้อของคลอรีนไดออกไซด์ต่อไวรัส สาหร่าย และแพลงก์ตอนสัตว์ในน้ำ Water Res. 31, 455–460.
Lee, N., Hui, D., Wu, A., Chan, P., Cameron, P., Joynt, G.M., Ahuja, A., Ahuja, A., Yung, M.Y., Leung, C.B., To, K.F., Lui, S.F., Szeto, C.C., Chung, S., Sung JJY, 2003. การระบาดครั้งใหญ่ของโรคทางเดินหายใจเฉียบพลันรุนแรงในฮ่องกง NEJM 348, 1986–1994.
Li, J., Bao, Z., Zhuang, D., Liu, S., Liu, Y., Zhang, W., 2003. ประสิทธิภาพในการยับยั้งไวรัสโคโรนาสายพันธุ์ใหม่ของนาโนอิมัลชันฆ่าเชื้อแบบผสม วารสารการฆ่าเชื้อของจีน 20, 116–117 [เป็นภาษาจีน].
Li, J.W., Yu, Z., Cai, X., Gao, M., Zhou, Y., Chao, F., 1996. การก่อตัวของไตรฮาโลมีเทนในน้ำที่ผ่านการบำบัดด้วยคลอรีนไดออกไซด์ Water Res. 30, 2371–2376.
Li, J.W., Wang, X.W., Rui, Q.Y., Song, N., Chao, F.H., 1998. วิธีใหม่และง่ายสำหรับการทำให้ไวรัสในลำไส้มีความเข้มข้นจากน้ำ J.Virol. Methods 74, 99–108.
Li, J.W., Xin, Z.T., Wang, X.W., Zheng, J.L., Chao, F.H., 2002. กลไกการยับยั้งไวรัสตับอักเสบเอโดยคลอรีน Appl. Environ.Microbiol. 68, 4951–4955.
Li, J.W., Xin, Z.T., Wang, X.W., Zheng, J.L., Chao, F.H., 2004. กลไกการยับยั้งไวรัสตับอักเสบเอในน้ำโดยคลอรีนไดออกไซด์ Water Res. 58, 1514–1519.
Liu, W., Tang, F., Fontanet, A., Zhan, L., Zhao, Q.M., Zhang, P.H., Wu, X.M., Zuo, S.Q., Baril, L., Vabret, A., Xin, Z.T., Shao, Y.M., Yao, H., Chao, W.C., 2003. การขับถ่ายไวรัสโคโรนา SARS ในระยะยาวจากกลุ่มผู้ป่วยในประเทศจีน Emerg. Infect. Dis. 10, 1841–1843.
Liu, X.J., 2003. การคงอยู่ของ SARS-CoV ในสิ่งแวดล้อมเกินความคาดหมาย หนังสือพิมพ์วิทยาศาสตร์และเทคโนโลยีของจีน 4 มิถุนายน หน้า 2.
Olivieri, V.P., Hauchman, F.S., Noss, C.I., Vasl, R., 1985. กลไกการออกฤทธิ์ของคลอรีนไดออกไซด์ต่อไวรัสบางชนิด ใน: Jolley, R.L., Bull, J.R., Davids, W.P., Katz, S., Roberts, M.H., Jacobs, VA. (บรรณาธิการ), การคลอรีนน้ำ: เคมี ผลกระทบต่อสิ่งแวดล้อม และผลกระทบต่อสุขภาพ เล่ม 5 สำนักพิมพ์ Lewis หน้า 619–634.
Rabenau, H.F., Cinatl, J., Morgenstern, B., Bauer, G., Preiser, W., Doerr, H.W., 2004. ความเสถียรและการทำให้ไวรัสโคโรนา SARS ไม่ทำงาน Med. Microbiol. Immunol. (Berl) [Epub ก่อนพิมพ์]
Rook, J.J., 1974. การก่อตัวของฮาโลฟอร์มระหว่างการคลอรีนของน้ำธรรมชาติ Water Treat. Exam 23, 234–237.
Rota, P.A., Oberste, M.S., Monroe, S.S., Nix, W.A., Campagnoli, R., Icenogle, J.P. , Penaranda, S. , Bankamp, B. , Maher, K. , Chen, M.H. , ตอง, เอส., ทามิน, เอ., โลว์, แอล., เฟรซ, ม., เดริซี, เจ.แอล., เฉิน, คิว., Wang, D., Erdman, D.D., Peret, T.C., Burns, C., Ksiazek, T.G., Rollin, พี.อี., ซานเชซ, เอ., ลิฟฟิค, เอส., ฮอลโลเวย์, บี., ลิมอร์, เจ., แมคคอสต์แลนด์, เค., โอลเซ่น-ราสมุสเซ่น, เอ็ม., ฟูชีเยร์, ร., กุนเธอร์, เอส., ออสเตอร์เฮาส์, อ.ดี., ดรอสเทน, ซี., Pallansch, M.A., Anderson, L.J., Bellini, W.J., 2003. การจำแนกลักษณะของไวรัสโคโรนาสายพันธุ์ใหม่ที่เกี่ยวข้องกับโรคระบบทางเดินหายใจเฉียบพลันรุนแรง
Science 300, 1394–1399.
เซบาสเตียนี และคณะ, 1989. โคลิฟาจ (Coliphages): ตัวบ่งชี้การปนเปื้อนของไวรัส. วารสาร Annali di Igiene เล่มที่ 1, หน้า 1705–1715.
ชาห์ และ แมคแคมิช, 1972. ความสามารถในการต้านทานคลอรีนเชิงเปรียบเทียบของโปลิโอไวรัส ชนิดที่ 1 และโคลิฟาจสายพันธุ์ f2 และ T2 ในน้ำ. วารสาร Applied Microbiology เล่มที่ 24, หน้า 658–659.
คณะทำงานศึกษาเรื่องซาร์ส (SARS), 2004. การตรวจหาปริมาณ RNA ของเชื้อ SARS-CoV ในสิ่งขับถ่ายและของเหลวจากการล้างช่องปากและทางเดินอาหารส่วนบน ในผู้ป่วยที่อยู่ในระยะพักฟื้นจากโรคทางเดินหายใจเฉียบพลันรุนแรง (SARS). วารสาร Acta Academiae Medicinae Sinicae เล่มที่ 26, หน้า 251–254 (ภาษาจีน).
Taylor, G.R., Butler, M., 1982a. การเปรียบเทียบคุณสมบัติในการฆ่าเชื้อไวรัสของคลอรีน คลอรีนไดออกไซด์ โบรมีนคลอไรด์ และไอโอดีน วารสารสุขอนามัยเคมบริดจ์ 89, 321–328.
Taylor, G.R., Butler, M., 1982b. การเปรียบเทียบคุณสมบัติในการฆ่าเชื้อไวรัสของคลอรีน คลอรีนไดออกไซด์ โบรมีนคลอไรด์ และไอโอดีน วารสารสุขอนามัย (ลอนดอน) 89, 321–328.
Tree, J.A., Adams, M.R., Lees, D.N., 2003. การคลอริเนชันของแบคทีเรียและไวรัสที่เป็นตัวบ่งชี้ในน้ำเสียขั้นต้น วารสารจุลชีววิทยาประยุกต์และสิ่งแวดล้อม 69, 2038–2043.
Tsai, C.T., Lin, S.T., 1999. การฆ่าเชื้อกากตะกอนของเสียจากโรงพยาบาลโดยใช้ไฮโปคลอไรต์และคลอรีนไดออกไซด์ วารสารจุลชีววิทยาประยุกต์ 86, 827–831. Tsang T, SARS – ปัญหาสิ่งแวดล้อม เข้าถึงได้ที่: http://www.who.int/csr/sars/conference/june-2003/materials/video/en.
Tyrrell, S.A., Rippey, S.R., Watkins, W.D., 1995. การทำให้แบคทีเรีย และไวรัสที่เป็นตัวบ่งชี้ในน้ำเสียที่ผ่านการบำบัดขั้นที่สองหมดฤทธิ์โดยใช้คลอรีนและโอโซน วารสารวิจัยน้ำ 29, 2483–2490.
Wang, X.W., Li, J.S., Guo, T.K., Zhen, B., Kong, Q.X., Yi, B., Li, Z., Song, N., Jin, M., Xiao, W.J., Zhu, X.M., Gu, C.Q., Yin, J., WeiW, Yao, W., Liu, C., Li, J.F., Ou, G.R., Wang, M.N., Fang, T.Y., Wang, G.J., Qiu, Y.H., Wu, H.H., Chao, F.H., Li, J.W., 2004. การตรวจหา RNA ของไวรัสโคโรนา SARS ในน้ำเสียของโรงพยาบาล วารสารการแพทย์ป้องกันของจีน 38, 257–260.
Wommack, K.E., Hill, R.T., Colwell, R.R., 1995. วิธีง่ายๆ สำหรับการเพิ่มความเข้มข้นของไวรัสจากตัวอย่างน้ำธรรมชาติ J. Microbiol. Methods. 22, 57–67.
องค์การอนามัยโลก (2003a). จำนวนผู้ป่วยที่น่าจะเป็นโรคซาร์สที่รายงานสะสม ดูได้ที่: http://www.who.int/csr/sars/country/2003 07 09/en/.
องค์การอนามัยโลก (2003b). อัปเดต 84 – โรคซาร์สสามารถกำจัดหรือขจัดได้หรือไม่? ดูได้ที่: http://www.who.int/csr/don/2003-06-19/en.
องค์การอนามัยโลก (2003c). ไพรเมอร์ PCR สำหรับโรคซาร์สที่พัฒนาโดยห้องปฏิบัติการเครือข่ายขององค์การอนามัยโลก ดูได้ที่: http://www.who.int/csr/sars/primers/en.
องค์การอนามัยโลก (2004). จีนยืนยันการติดเชื้อ SARS ในสองกรณีที่รายงานไปก่อนหน้านี้ เข้าถึงได้ที่: http://www.who.int/csr/don/2004 04 23/en/.